DiÅlerinizdeki BoÅluklar YaÅantÄąnÄązÄą Olumsuz Etkilemesin!
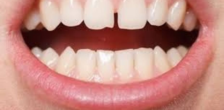
Diestema olarak adlandÄąrÄąlan; diÅler arasÄąnda boÅluk bulunmasÄą durumu, birçok kiÅinin sosyal hayatÄąnÄąn yanÄą sÄąra, bu sÄąralar çok popÞler olan sosyal medya hayatÄąnÄą da olumsuz yÃķnde etkileyen bir problemdir. GÞnÞmÞzde kullanÄąlan materyallerin geliÅmesiyle birlikte Ãķzellikle, âanteriorâ olarak adlandÄąrdÄąÄÄąmÄąz, Ãķn bÃķlgede bulunan diÅler arasÄąndaki boÅluklar; tek seansta bile kapatÄąlÄąp, estetik bir gÃķrÞntÞye sahip olmak mÞmkÞndÞr.
Â
DiÅler arasÄąnda oluÅan boÅluÄun nedenleri nelerdir?
Â
KiÅinin diÅleri normal boyutta olsa bile, çene yapÄąsÄą geniÅ veya tam tersi Åekilde çene yapÄąsÄą normal olmasÄąna raÄmen diÅleri kÞçÞk ise diÅler arasÄąnda, diestema dediÄimiz boÅluklar oluÅabilmektedir. Bunun yanÄą sÄąra, diÅ eti hastalÄąklarÄą nedeniyle de diÅler arasÄąnda boÅluklar meydana gelebilmektedir.
Â
Peki bu boÅluklarÄą kapatma yÃķntemleri nelerdir?
Â
DiÅler arasÄąndaki boÅluklarÄą, çeÅitli tedavi seçenekleri ile kapatmak mÞmkÞndÞr. Ortodontik tedavi yani diÅ teli takÄąlmasÄą, porselen lamine uygulanmasÄą ya da son zamanlarda çok popÞler olan ve tek seansta tedavinin bitirildiÄi bonding sistemi ile tedavi yapÄąlabilir.
Â
- Ortodontik tedavi
AÄÄąz içerisinde, hastanÄąn kapanÄąÅÄąnÄą da etkileyecek Åekilde geniÅ alanlÄą bir diÅ ayrÄąlÄąÄÄą sÃķz konusu ise hastanÄąn ortodontik tedavi gÃķrmesi gerekebilir. GÞnÞmÞzde nerdeyse hiç gÃķrÞnmeyen Åeffaf plaklarla ya da diÅ telleri ile tedavi yapÄąlabilmektedir.
Â
- Â Porselen laminalar
İnce yaprak porselen olarak bilinen porselen laminalar, Ãķzellikle Ãķn bÃķlgede bulunan diÅlerin Þzerinden çok az ve ya hiç aÅÄąndÄąrma yapmadan diŠÞzerine yapÄąÅtÄąrÄąlmasÄą ile saÄlanÄąr. AyrÄąca laminalar ile diÅlerinizin Þzerinde bulunan renklenmelerin ve Åekil bozukluklarÄąnÄąn giderilmesi de mÞmkÞn olup, çok estetik ve doÄal gÃķrÞnen diÅlere kavuÅabilirsiniz. Porselen laminalarÄąn yapÄąmÄą son derece hassastÄąr. Hassas tekniklerle çok ince bir Åekilde Þretilen laminalar, diÅ ve çevredeki dokularla baÅarÄąlÄą Åekilde uyum saÄlar ve diÅlerdeki ayrÄąk gÃķrÞnÞmÞn dÞzeltilmesine yardÄąmcÄą olur.
Â
- · Bonding uygulamasÄą ile tek seansta estetik gÞlÞÅler
Bonding uygulamasÄą Ãķzellikle diÅ teli kullanmak istemeyen, daha hÄązlÄą bir çÃķzÞm arayan kiÅiler için ideal bir yÃķntemdir. Bonding uygulamasÄą olarak adlandÄąrÄąlan uygulamada, diÅler arasÄąndaki boÅluklar tek seansta, diÅin kendi rengine birebir uygun olarak beyaz renkli kompozit dolgu materyali ile diŠÞzerinden herhangi bir madde kaldÄąrmadan yapÄąlabilmektedir. DiÅler arasÄąndaki boÅluklar kapatÄąlabildiÄi gibi, aynÄą seansta diÅler Þzerindeki renklenmeler ve Åekil bozukluklarÄą da giderilebilir. AynÄą seans diŠÞzerinde var olan çÞrÞkler de temizlenip, kompozit dolgu materyali ile restore edilerek tedavi edilebilir. Bonding sistemi, Ãķzellikle sosyal hayatÄąnÄązda gÞlÞÅÞnÞzÞ saklamak istemediÄiniz; dÞÄÞn, gala veya davetlerden Ãķnce, çok fazla zaman almayan, gÞzelliÄinize gÞlÞÅÞnÞzÞ de eklemenize yardÄąm eden pratik bir yÃķntemdir. Bu yÃķntemin uygulama sÞresi genel olarak 30-60 dakika arasÄąndadÄąr.



